倉敷市で歯周病治療なら

〒710-0046 岡山県倉敷市中央 2丁目18-8
JR山陽本線「倉敷駅」より徒歩15分

診療時間
9:00~12:00 × ×
13:30~18:00 × ×

△:14:00~18:00 ●:13:30~17:00
休診日:木曜・日曜・祝日
※祝日のある週の木曜日は診療しています。

当院の歯周病治療の特徴

国際歯周内科学研究会認定医が治療

当院では岡山で唯一「国際歯周内科学研究会認定医」の資格を持ち、これまでに「エクセレントペリオ」プログラムによる歯周病治療を100症例以上も手がけてきた、経験豊富な歯科医師が歯周病治療を担当します。この「認定医」の資格は、同会によって治療の技術や知識、実績を認められた歯科医師だけが取得できるものです。

確かな治療技術を持ち、経験も豊富な歯科医師ですので、症状の軽い方はもちろん「歯を抜くしかない」と言われるような重症の患者さまの治療も、当院でなら可能です。

長年歯周病治療に通っているのになかなか改善しない方、抜かなければいけないと言われたことのある重症の患者さまも、ぜひ一度お気軽にご相談ください。

痛みの少ない、お身体に優しい歯周病治療

「歯周病」という名前を耳にする機会は多いと思いますが、どんな病気なのか良く知っているという方は、実は少ないのではないでしょうか。歯周病とは歯周ポケット(歯と歯ぐきの間にある溝)に繁殖した歯周病菌が出す毒素によって、歯ぐきやあごの骨といった歯を支えている組織が破壊されてしまう病気です。

そのため歯周病を治療するには、原因である歯周病菌を殺菌したり取り除いたりする処置が必要になります。当院ではこの「歯周病菌を殺菌する」治療に力を入れて取り組んでいます。

具体的には「歯周内科治療」という飲み薬で歯周病菌を減らす治療や、炎症を落ち着かせる効果のある「レーザー」という最新の機器を使い、光を当てて殺菌する「光殺菌治療」を当院オリジナル病治療プログラムとして実践。飲み薬やレーザーによる治療は、治療中の痛みが少ないのが特徴です。

歯周病を引き起こす根本原因である「歯周病菌」を減らす治療方法ですので、治療後の再発が少ないというメリットもあります。また歯ぐきの腫れや膿、出血といった急性の症状を抑える効果もあるため、手術のように痛みを伴う、患者さまのお身体への負担が大きい治療をしなくても済むケースが多いのです。

殺菌水を使った治療で徹底的に除菌します

保険診療の歯周病治療では、歯周病の原因となる歯石をお水で洗浄しながら取り除きますが、ご存知の通りただのお水には除菌・殺菌効果はありません。しかし歯周ポケットを十分に除菌することが、歯周病の改善を促す重要なポイントになります。

そこで当院オリジナルの歯周病治療プログラム「エクセレントペリオ」では、歯石をしっかりと取り除いた後、歯周病菌を殺菌する効果のある「ポイックウォーター」や「オゾン水」で歯周ポケットを洗浄します。歯周ポケットの中にいる歯周病菌を殺菌できるので、症状の改善を早める効果が期待できます。

最新機器「オペレーザーフィリオ」を導入

オペレーザー フィリオ

当院では、歯周ポケットが深くなっている患者さまの歯周病治療において、より効果的な治療を行うため、厚生労働省承認済みヨシダ社の「オペレーザーフィリオ」を導入しました。

ファイバーチップはコア径200μm,300μm,400μmと細いファイバーなので、従来のレーザー機器では当てにくかった細部への照射も可能となりました。

精密な検査による歯周病のリスク判定

皆さまのお口の中には、なんと300種類以上もの細菌が存在しているのをご存知でしょうか。その中で「歯周病菌」と呼ばれている細菌にも、実はいくつもの種類があります。どんな種類の歯周病菌がいるのか、またどれだけの数がいるのかは人によって異なり、歯周病へのかかりやすさも細菌の種類や数によって左右されます。

そのため単に「歯周病菌を減らす」と言っても、どの菌にどんなアプローチをするのが効果的なのかは、患者さま一人ひとりのお口の状況により違って来るのです。そこで当院では一般的な歯周病検査以外にも、患者さまのお口の中にいる歯周病菌の種類や数を特定する検査を実施しています。

位相差顕微鏡による細菌検査

お口の中のプラーク(歯垢)を少しだけ採取し、位相差顕微鏡で拡大して確認します。この検査ではモニター画面で細菌の様子を実際に見ながら、歯周病菌・むし歯菌・真菌(カビ菌)の種類や多さを調べることができます。プラークを採取するだけですので、検査時に痛みを伴うことはありません。

歯周病菌のDNA検査

位相差顕微鏡による検査だけでは菌の大まかな種類と数しかわからないため、当院ではそれに追加して、「リアルタイムPCR検査」と呼ばれる歯周病菌のDNA検査も実施しています。この検査を行うことにより、位相差顕微鏡ではわからない歯周病菌の種類や比率、数を調べることが可能です。

歯と歯ぐきの間に「ペーパーポイント」と呼ばれる細いこよりのようなものを入れて、30秒ほど置いておくだけでできる検査ですので、痛みを感じることもなく短時間で行えます。

このように、当院では歯周病菌の種類や数を特定するさまざまな検査を実施し、その結果をもとにより効果の出る方法で治療を進めてまいります。そのため当院の治療では、歯周病の症状が早期に改善しやすいのです。また歯周病菌の数を数値で把握できるため、治療前と治療後で実際に歯周病菌が減少していることを、数字で確認できる点も大きなメリットと言えるでしょう。

この検査は治療後の定期メインテナンス時にも行いますので、歯周病菌が増殖して再発を招いていないかを確認することもできます。

その他にも当院では、全身疾患の有無などの精密な検査も行っています。

歯周病炎症検査

歯周病炎症検査機器
「スポットケム バナリスト SI-3620」

最新の歯周病炎症検査機器「スポットケム バナリスト SI-3620(アークレイ社)」を導入し、糖尿病や感染症の早期発見に役立てています。

歯周病は特に糖尿病との関連が深いことが知られており、「糖尿病の合併症のひとつ」と言われるほどです。糖尿病の患者さまは歯周病にかかりやすく、また歯周病をお持ちの方は糖尿病を悪化させやすいのです。そのため糖尿病などの全身疾患があるかどうかの検査を事前に行うことで、その結果を歯周病治療に活かすことができます。

歯周病治療を長年続けているのになかなか症状が改善しない……とお悩みの方も、ぜひ一度当院にご相談ください。当院はさまざまな精密検査を行い、患者さま一人ひとりの歯周病の原因を確認し、その原因にアプローチする治療を実践しておりますので、きっとお役に立てることと思います。

再発を防ぐプロフェッショナルケア

歯周病治療で大切なのは、歯周病菌の住みかである歯石やプラーク(歯垢)を取り除くことです。この処置は歯科衛生士が担当します。歯石を取り残してしまうと症状がなかなか改善しないため、歯科衛生士の腕前は歯周病の改善には非常に重要です。

歯周病が重症化すると、歯を支えているあごの骨が溶けてしまい、歯を抜かなければいけなくなる恐れがあります。できるだけ歯を抜かずに、お身体への負担が少ない治療をするためには、歯周病治療の専門的な知識や技術、豊富な経験が必要なのです。

当院には10年以上(※)歯周病治療に携わってきたベテランを筆頭に、経験豊富な歯科衛生士が多く在籍しておりますので、歯周ポケット(歯と歯ぐきの間の溝)の奥にある歯石までしっかりと取り除くことが可能です。

(※)2020年現在

歯石やプラークの除去は「痛い」というイメージをお持ちの方も多いのですが、これは歯ぐきに炎症がある状態で処置を行った場合、痛みが発生しやすいためです。当院では「歯周内科治療」などによって、炎症の状態を改善させてから歯石やプラークの除去を行うため、痛みの少ない治療を実現しています。当院で治療を受けた患者さまからは、「痛くなかった!」というお声をいただくことも。

また当院では歯科衛生士が歯石やプラークの除去を行う際も、歯周病菌を殺菌する効果のある「ポイックウォーター」や「オゾン水」を使用して歯周ポケット内の歯周病菌を殺菌しますので、症状の改善をより促すことが可能です。

歯周病の治療で通院を続けているのに、症状がなかなか改善しないという方、歯を抜かなければいけないと言われたことのある方も、ぜひお気軽に当院までご相談ください。

定期検診を利用して、
歯周病を効果的に防ぎましょう

歯周病を予防し、健康に生活していくために、当院では定期検診の受診をおススメしています。お口の中の環境は一人ひとり違いますし、歯周病のかかりやすさにも個人差が存在します。そのため当院では、すべての患者さまに「3カ月に1回」という頻度で来ていただくような、画一的な定期検診は行っていません。

歯周病にかかりやすい患者さまには短い間隔で、かかりにくい患者さまは長い間隔でというように、定期検診の頻度をそれぞれのお口の状態に合わせて決めているため、より効果的に歯周病の予防がはかれるのです。

ホームケアのサポートもお任せください

歯周病は日本人の8割が感染している、「国民病」とも言われている病気です。また日本人が歯を失う原因の第1位でもあり、私たちの日常の生活にも大きな影響を与えています。歯周病にならないようにするために、また再発させないようにするためには、日々のホームケアの積み重ねが重要です。

当院では以下のようなホームケア用品をご用意し、患者さまのお口の健康をサポートしています。

プロバイオティクス

プロバイオティクス

お口の中に存在する細菌には、歯周病や虫歯を引き起こす悪玉菌と、乳酸菌のように身体に良い影響を与える善玉菌があります。歯周病を防ぐには、悪玉菌を減らして善玉菌を増やすことも重要です。

お口の中の善玉菌を増やし、悪玉菌が悪さをしにくいようにお口の細菌環境を整えることを「プロバイオティクス」と言います。当院ではこの「プロバイオティクス」を導入し、生きている善玉乳酸菌「ラクトバチルス・ロイテリ菌」を摂取することで、悪玉菌である歯周病菌の作用を抑え込み、歯周病の再発予防をはかっています。

また善玉乳酸菌を取り入れることは、お口の環境を整えるだけでなく、お身体全身の免疫力を向上させることにもつながります。歯周病も感染症の一種ですので、お身体の免疫力を上げることで、歯周病菌への抵抗力を高める効果も期待できます。

当院では善玉菌を摂取するためのサプリメントも販売しておりますので、お気軽にご相談ください。

プロペリ

プロペリ

「酸素の力」で歯周病菌を殺菌するマウスウォッシュです。歯周病菌は酸素を嫌う細菌(嫌気性細菌)であるため、その唯一の弱点である酸素を発生させるマウスウォッシュ、「プロペリ」を使うことで、普段の歯磨きなどでは除去しきれないような、細胞内に潜んでいる歯周病菌まで殺菌します。また長時間にわたって、口臭を抑える効果もあります。

当院ではこの他にも、細菌を除菌する効果のある抗生剤「ジスロマック」や、カビを除去する薬剤「ハリゾン」など多くのホームケア用品をご用意し、患者さまのご自宅での歯周病ケアをサポートいたします。

エクセレントペリオ治療を受診された患者さまの治療例

歯周病治療を他院で受けているが改善しないということでご来院(女性・50代)

治療期間
9/19~11/10
治療費用
100,000円(税別)
治療内容
エクセレントぺリオ一連の流れ
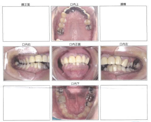
治療前

お口の中全体的に歯周病が進行し、
歯ぐきが下がってきていました。

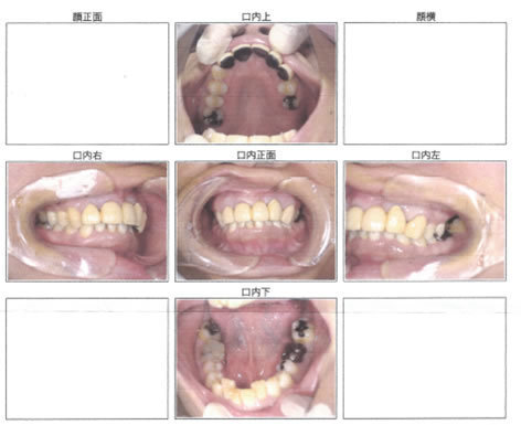
治療後

全ての歯がきれいにクリーニングされ、
歯ぐきの状態も改善しています。

治療前

歯周病菌は多くはありませんが一定数の菌数が見られます。

治療後

しっかりと治療を受けていただくことで、菌数がお幅に減少し、
殆どなくなり、状態が改善されています。

治療前
治療後
治療前

歯周ポケットが深い部分が多く、
出血も見られ、歯周病が進行していることがわかります。

治療後

歯周ポケットが浅くなり、歯周病の状態が改善されています。

治療のリスクや副作用:歯周内科治療は抗生物質を用いるため、人によってはアレルギー反応が起こる場合があります。治療後に歯がしみる可能性があります。出血を伴う可能性があります。治療部位を分けて行うので数回の通院が必要です。歯ぐきが少し下がってみえる可能性があります。重度の歯周病の場合、レーザーのみでは殺菌できない場合があります。痛みの感じ方には個人差があります。従来の歯周病治療よりも時間がかかる可能性があります。クロルヘキシジン配合の薬剤により、アレルギー症状がでる可能性があります。(発生頻度は極めて低いですが、お薬のアレルギーがある方は事前に申請してください。)薬剤の使用により、歯の表面に着色する可能性があります。予防効果は一生続くものではありません。再感染する可能性もあります。マウスピースにより頬の粘膜・唇・舌などに、口内炎ができることがあります。土台となるご自身の歯を削る場合があります。(削る量は個人差があります。)被せ物等の治療を行う場合、土台となるご自身の歯を削る必要があります。(削る量は個人差があります。)治療時に出血を伴う可能性があります。

以下のページもご覧ください

当院の歯周病治療の特徴をご紹介しています。さまざまな検査を行って、痛みの少ない、お身体に優しい歯周病治療を実践しています。

当院オリジナルの歯周病プログラム「エクセレントペリオ」や光殺菌治療など、当院の歯周病治療の種類についてご案内します。

一般的な歯周病治療の流れについてご案内しています。お口の状況や治療内容によっては、変わってくることもありますのでご了承ください。

患者さまから寄せられる、「よくある質問」にお答えしています。ここにない疑問点・不明点がありましたら、お気軽にスタッフまでお尋ねください。

当院の院内の様子や、所有している最新の設備をご紹介するページです。ご来院される前に、ぜひ一度チェックしてみてください。

パソコン|モバイル
ページトップに戻る